Get the real deal on beauty treatments—real doctors, real reviews, and real photos with real results.Here's how we earn your trust.

John M. Griffin, MD (retired)

Board Certified Plastic Surgeon
Atlanta, Georgia
5 | 5 Reviews
183 Questions Answered
This provider is not currently accepting consultations through RealSelf

CONNECT WITH TRUSTED DOCTORS

Anthony Bared, MD, FACS profile photo

Anthony Bared, MD, FACS

Board Certified Facial Plastic Surgeon

4.9
| 173 Reviews
S. Ozan Sozer, MD profile photo

S. Ozan Sozer, MD

Board Certified Plastic Surgeon

4.9
| 451 Reviews
Jeffrey L. Schmidt, MD profile photo

Jeffrey L. Schmidt, MD

Board Certified Facial Plastic Surgeon

4.8
| 164 Reviews
Marwan R. Khalifeh, MD profile photo

Marwan R. Khalifeh, MD

Board Certified Plastic Surgeon

4.7
| 155 Reviews
Dolls Plastic Surgery profile photo

Dolls Plastic Surgery

Medical Practice

4.1
| 83 Reviews
Robert Colgrove, Jr., MD profile photo

Robert Colgrove, Jr., MD

Board Certified Plastic Surgeon

4.8
| 328 Reviews
Max Polo, MD profile photo

Max Polo, MD

Board Certified Plastic Surgeon

4.9
| 70 Reviews
Paul Lanfranchi, DO, FAOCOO profile photo

Paul Lanfranchi, DO, FAOCOO

Board Certified Facial Plastic Surgeon

4.9
| 180 Reviews
Dilip D. Madnani, MD, FACS profile photo

Dilip D. Madnani, MD, FACS

Board Certified Facial Plastic Surgeon

4.9
| 364 Reviews
Urmen Desai, MD, MPH, FACS profile photo

Urmen Desai, MD, MPH, FACS

Board Certified Plastic Surgeon

5.0
| 1399 Reviews
Paul K. Holden, MD profile photo

Paul K. Holden, MD

Board Certified Facial Plastic Surgeon

4.8
| 99 Reviews
Finny George, MD profile photo

Finny George, MD

Board Certified Plastic Surgeon

4.9
| 269 Reviews
Ryan A. Stanton, MD profile photo

Ryan A. Stanton, MD

Board Certified Plastic Surgeon

4.6
| 329 Reviews
Gary Lawton, MD, FACS profile photo

Gary Lawton, MD, FACS

Board Certified Plastic Surgeon

4.8
| 338 Reviews
William Alan Dulin, MD profile photo

William Alan Dulin, MD

Board Certified Plastic Surgeon

4.6
| 39 Reviews
Paul Whidden, MD profile photo

Paul Whidden, MD

Certified Plastic Surgeon

4.8
| 90 Reviews
Arash Moradzadeh, MD profile photo

Arash Moradzadeh, MD

Board Certified Facial Plastic Surgeon

4.6
| 20 Reviews
Afshin Farzadmehr, MD profile photo

Afshin Farzadmehr, MD

Dermatologic Surgeon, Board Certified in Dermatology

4.9
| 227 Reviews
Johnny Franco, MD, FACS profile photo

Johnny Franco, MD, FACS

Board Certified Plastic Surgeon

4.8
| 466 Reviews
Suzette Miranda, MD profile photo

Suzette Miranda, MD

Board Certified Plastic Surgeon

4.9
| 158 Reviews
Joseph Michaels, MD profile photo

Joseph Michaels, MD

Board Certified Plastic Surgeon

4.9
| 93 Reviews

CONNECT WITH TRUSTED DOCTORS

SPONSORED
Anthony Bared, MD, FACS profile photo

Anthony Bared, MD, FACS

Board Certified Facial Plastic Surgeon

4.9
| 173 Reviews
16 YEARS OF EXPERIENCE
MIAMI, FLORIDA
SPONSORED
S. Ozan Sozer, MD profile photo

S. Ozan Sozer, MD

Board Certified Plastic Surgeon

4.9
| 451 Reviews
24 YEARS OF EXPERIENCE
EL PASO, TEXAS
SPONSORED
Jeffrey L. Schmidt, MD profile photo

Jeffrey L. Schmidt, MD

Board Certified Facial Plastic Surgeon

4.8
| 164 Reviews
14 YEARS OF EXPERIENCE
ENGLEWOOD, COLORADO
SPONSORED
Marwan R. Khalifeh, MD profile photo

Marwan R. Khalifeh, MD

Board Certified Plastic Surgeon

4.7
| 155 Reviews
19 YEARS OF EXPERIENCE
MCLEAN, VIRGINIA
SPONSORED
Dolls Plastic Surgery profile photo

Dolls Plastic Surgery

Medical Practice

4.1
| 83 Reviews
AVENTURA, FLORIDA
SPONSORED
Robert Colgrove, Jr., MD profile photo

Robert Colgrove, Jr., MD

Board Certified Plastic Surgeon

4.8
| 328 Reviews
39 YEARS OF EXPERIENCE
ATLANTA, GEORGIA
SPONSORED
Max Polo, MD profile photo

Max Polo, MD

Board Certified Plastic Surgeon

4.9
| 70 Reviews
24 YEARS OF EXPERIENCE
MIAMI, FLORIDA
SPONSORED
Paul Lanfranchi, DO, FAOCOO profile photo

Paul Lanfranchi, DO, FAOCOO

Board Certified Facial Plastic Surgeon

4.9
| 180 Reviews
19 YEARS OF EXPERIENCE
LAS VEGAS, NEVADA
SPONSORED
Dilip D. Madnani, MD, FACS profile photo

Dilip D. Madnani, MD, FACS

Board Certified Facial Plastic Surgeon

4.9
| 364 Reviews
19 YEARS OF EXPERIENCE
NEW YORK, NEW YORK
SPONSORED
Urmen Desai, MD, MPH, FACS profile photo

Urmen Desai, MD, MPH, FACS

Board Certified Plastic Surgeon

5.0
| 1399 Reviews
14 YEARS OF EXPERIENCE
BEVERLY HILLS, CALIFORNIA
SPONSORED
Paul K. Holden, MD profile photo

Paul K. Holden, MD

Board Certified Facial Plastic Surgeon

4.8
| 99 Reviews
21 YEARS OF EXPERIENCE
SCOTTSDALE, ARIZONA
SPONSORED
Finny George, MD profile photo

Finny George, MD

Board Certified Plastic Surgeon

4.9
| 269 Reviews
13 YEARS OF EXPERIENCE
NEW YORK, NEW YORK
SPONSORED
Ryan A. Stanton, MD profile photo

Ryan A. Stanton, MD

Board Certified Plastic Surgeon

4.6
| 329 Reviews
24 YEARS OF EXPERIENCE
LOS ANGELES, CALIFORNIA
SPONSORED
Gary Lawton, MD, FACS profile photo

Gary Lawton, MD, FACS

Board Certified Plastic Surgeon

4.8
| 338 Reviews
25 YEARS OF EXPERIENCE
SAN ANTONIO, TEXAS
SPONSORED
William Alan Dulin, MD profile photo

William Alan Dulin, MD

Board Certified Plastic Surgeon

4.6
| 39 Reviews
22 YEARS OF EXPERIENCE
PLANO, TEXAS
SPONSORED
Paul Whidden, MD profile photo

Paul Whidden, MD

Certified Plastic Surgeon

4.8
| 90 Reviews
24 YEARS OF EXPERIENCE
CALGARY, ALBERTA
SPONSORED
Arash Moradzadeh, MD profile photo

Arash Moradzadeh, MD

Board Certified Facial Plastic Surgeon

4.6
| 20 Reviews
15 YEARS OF EXPERIENCE
BEVERLY HILLS, CALIFORNIA
SPONSORED
Afshin Farzadmehr, MD profile photo

Afshin Farzadmehr, MD

Dermatologic Surgeon, Board Certified in Dermatology

4.9
| 227 Reviews
27 YEARS OF EXPERIENCE
LOS ANGELES, CALIFORNIA
SPONSORED
Johnny Franco, MD, FACS profile photo

Johnny Franco, MD, FACS

Board Certified Plastic Surgeon

4.8
| 466 Reviews
14 YEARS OF EXPERIENCE
AUSTIN, TEXAS
SPONSORED
Suzette Miranda, MD profile photo

Suzette Miranda, MD

Board Certified Plastic Surgeon

4.9
| 158 Reviews
9 YEARS OF EXPERIENCE
SEATTLE, WASHINGTON
SPONSORED
Joseph Michaels, MD profile photo

Joseph Michaels, MD

Board Certified Plastic Surgeon

4.9
| 93 Reviews
16 YEARS OF EXPERIENCE
ROCKVILLE, MARYLAND

MAKE SURE YOUR DOCTOR IS REALSELF VERIFIED

RealSelf Verified doctors complete our multistep verification process to ensure they are in good medical standing, display their experience and most performed procedures, have high patient satisfaction ratings, and respond to consultation requests quickly. Just look for the RealSelf Verified badge.

FIND A VERIFIED DOCTOR

ARE YOU DR. GRIFFIN?

Claim your profile now— it costs nothing! Build trust by highlighting education, board certifications, and hospital privileges. List treatments, and include all procedures you perform. Get involved by uploading before & after procedure photos and answering questions from prospective patients.

CLAIM YOUR PROFILE

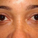
Before and After Photos

CONNECT WITH TRUSTED DOCTORS

Marwan R. Khalifeh, MD profile photo

Marwan R. Khalifeh, MD

Board Certified Plastic Surgeon

4.7
| 155 Reviews
Dolls Plastic Surgery profile photo

Dolls Plastic Surgery

Medical Practice

4.1
| 83 Reviews
Robert Colgrove, Jr., MD profile photo

Robert Colgrove, Jr., MD

Board Certified Plastic Surgeon

4.8
| 328 Reviews
Paul Whidden, MD profile photo

Paul Whidden, MD

Certified Plastic Surgeon

4.8
| 90 Reviews
Paul K. Holden, MD profile photo

Paul K. Holden, MD

Board Certified Facial Plastic Surgeon

4.8
| 99 Reviews
Gary Lawton, MD, FACS profile photo

Gary Lawton, MD, FACS

Board Certified Plastic Surgeon

4.8
| 338 Reviews
Paul Lanfranchi, DO, FAOCOO profile photo

Paul Lanfranchi, DO, FAOCOO

Board Certified Facial Plastic Surgeon

4.9
| 180 Reviews
Dilip D. Madnani, MD, FACS profile photo

Dilip D. Madnani, MD, FACS

Board Certified Facial Plastic Surgeon

4.9
| 364 Reviews
S. Ozan Sozer, MD profile photo

S. Ozan Sozer, MD

Board Certified Plastic Surgeon

4.9
| 451 Reviews
Anthony Bared, MD, FACS profile photo

Anthony Bared, MD, FACS

Board Certified Facial Plastic Surgeon

4.9
| 173 Reviews
Arash Moradzadeh, MD profile photo

Arash Moradzadeh, MD

Board Certified Facial Plastic Surgeon

4.6
| 20 Reviews
Jeffrey L. Schmidt, MD profile photo

Jeffrey L. Schmidt, MD

Board Certified Facial Plastic Surgeon

4.8
| 164 Reviews
Finny George, MD profile photo

Finny George, MD

Board Certified Plastic Surgeon

4.9
| 269 Reviews
Ryan A. Stanton, MD profile photo

Ryan A. Stanton, MD

Board Certified Plastic Surgeon

4.6
| 329 Reviews
Joseph Michaels, MD profile photo

Joseph Michaels, MD

Board Certified Plastic Surgeon

4.9
| 93 Reviews
Urmen Desai, MD, MPH, FACS profile photo

Urmen Desai, MD, MPH, FACS

Board Certified Plastic Surgeon

5.0
| 1399 Reviews
Afshin Farzadmehr, MD profile photo

Afshin Farzadmehr, MD

Dermatologic Surgeon, Board Certified in Dermatology

4.9
| 227 Reviews
Max Polo, MD profile photo

Max Polo, MD

Board Certified Plastic Surgeon

4.9
| 70 Reviews
Johnny Franco, MD, FACS profile photo

Johnny Franco, MD, FACS

Board Certified Plastic Surgeon

4.8
| 466 Reviews
William Alan Dulin, MD profile photo

William Alan Dulin, MD

Board Certified Plastic Surgeon

4.6
| 39 Reviews
Suzette Miranda, MD profile photo

Suzette Miranda, MD

Board Certified Plastic Surgeon

4.9
| 158 Reviews

CONNECT WITH TRUSTED DOCTORS

SPONSORED
Marwan R. Khalifeh, MD profile photo

Marwan R. Khalifeh, MD

Board Certified Plastic Surgeon

4.7
| 155 Reviews
19 YEARS OF EXPERIENCE
MCLEAN, VIRGINIA
SPONSORED
Dolls Plastic Surgery profile photo

Dolls Plastic Surgery

Medical Practice

4.1
| 83 Reviews
AVENTURA, FLORIDA
SPONSORED
Robert Colgrove, Jr., MD profile photo

Robert Colgrove, Jr., MD

Board Certified Plastic Surgeon

4.8
| 328 Reviews
39 YEARS OF EXPERIENCE
ATLANTA, GEORGIA
SPONSORED
Paul Whidden, MD profile photo

Paul Whidden, MD

Certified Plastic Surgeon

4.8
| 90 Reviews
24 YEARS OF EXPERIENCE
CALGARY, ALBERTA
SPONSORED
Paul K. Holden, MD profile photo

Paul K. Holden, MD

Board Certified Facial Plastic Surgeon

4.8
| 99 Reviews
21 YEARS OF EXPERIENCE
SCOTTSDALE, ARIZONA
SPONSORED
Gary Lawton, MD, FACS profile photo

Gary Lawton, MD, FACS

Board Certified Plastic Surgeon

4.8
| 338 Reviews
25 YEARS OF EXPERIENCE
SAN ANTONIO, TEXAS
SPONSORED
Paul Lanfranchi, DO, FAOCOO profile photo

Paul Lanfranchi, DO, FAOCOO

Board Certified Facial Plastic Surgeon

4.9
| 180 Reviews
19 YEARS OF EXPERIENCE
LAS VEGAS, NEVADA
SPONSORED
Dilip D. Madnani, MD, FACS profile photo

Dilip D. Madnani, MD, FACS

Board Certified Facial Plastic Surgeon

4.9
| 364 Reviews
19 YEARS OF EXPERIENCE
NEW YORK, NEW YORK
SPONSORED
S. Ozan Sozer, MD profile photo

S. Ozan Sozer, MD

Board Certified Plastic Surgeon

4.9
| 451 Reviews
24 YEARS OF EXPERIENCE
EL PASO, TEXAS
SPONSORED
Anthony Bared, MD, FACS profile photo

Anthony Bared, MD, FACS

Board Certified Facial Plastic Surgeon

4.9
| 173 Reviews
16 YEARS OF EXPERIENCE
MIAMI, FLORIDA
SPONSORED
Arash Moradzadeh, MD profile photo

Arash Moradzadeh, MD

Board Certified Facial Plastic Surgeon

4.6
| 20 Reviews
15 YEARS OF EXPERIENCE
BEVERLY HILLS, CALIFORNIA
SPONSORED
Jeffrey L. Schmidt, MD profile photo

Jeffrey L. Schmidt, MD

Board Certified Facial Plastic Surgeon

4.8
| 164 Reviews
14 YEARS OF EXPERIENCE
ENGLEWOOD, COLORADO
SPONSORED
Finny George, MD profile photo

Finny George, MD

Board Certified Plastic Surgeon

4.9
| 269 Reviews
13 YEARS OF EXPERIENCE
NEW YORK, NEW YORK
SPONSORED
Ryan A. Stanton, MD profile photo

Ryan A. Stanton, MD

Board Certified Plastic Surgeon

4.6
| 329 Reviews
24 YEARS OF EXPERIENCE
LOS ANGELES, CALIFORNIA
SPONSORED
Joseph Michaels, MD profile photo

Joseph Michaels, MD

Board Certified Plastic Surgeon

4.9
| 93 Reviews
16 YEARS OF EXPERIENCE
ROCKVILLE, MARYLAND
SPONSORED
Urmen Desai, MD, MPH, FACS profile photo

Urmen Desai, MD, MPH, FACS

Board Certified Plastic Surgeon

5.0
| 1399 Reviews
14 YEARS OF EXPERIENCE
BEVERLY HILLS, CALIFORNIA
SPONSORED
Afshin Farzadmehr, MD profile photo

Afshin Farzadmehr, MD

Dermatologic Surgeon, Board Certified in Dermatology

4.9
| 227 Reviews
27 YEARS OF EXPERIENCE
LOS ANGELES, CALIFORNIA
SPONSORED
Max Polo, MD profile photo

Max Polo, MD

Board Certified Plastic Surgeon

4.9
| 70 Reviews
24 YEARS OF EXPERIENCE
MIAMI, FLORIDA
SPONSORED
Johnny Franco, MD, FACS profile photo

Johnny Franco, MD, FACS

Board Certified Plastic Surgeon

4.8
| 466 Reviews
14 YEARS OF EXPERIENCE
AUSTIN, TEXAS
SPONSORED
William Alan Dulin, MD profile photo

William Alan Dulin, MD

Board Certified Plastic Surgeon

4.6
| 39 Reviews
22 YEARS OF EXPERIENCE
PLANO, TEXAS
SPONSORED
Suzette Miranda, MD profile photo

Suzette Miranda, MD

Board Certified Plastic Surgeon

4.9
| 158 Reviews
9 YEARS OF EXPERIENCE
SEATTLE, WASHINGTON

John M. Griffin, MD (retired) reviews

John M. Griffin, MD (retired)

RATING DETAILS

5.0
5 reviews

All reviews are evaluated by the RealSelf team to ensure they're written by patients like you and meet our guidelines. Your results may vary. Doctors can never pay to have reviews removed or hidden.

START YOUR REVIEW FOR
John M. Griffin, MD (retired)
Select your rating:
5 Results
Worth It$6,000Liposuction

teesie

61 Y.o.who Yearned for Her Body Back, After Menopause - Atlanta, GA

I had known Dr Griffin for 20 plus years, through my experience working with him in the hospital setting. He was the one and only choice for me. Dr Griffin repaired a congenital scalp malformation on my son at age 13, with results beyond expectations. Results were far beyond my expectations! The best decision I've ever made. To have my body back, has given me a new lease on life.

Worth It$20,000Facelift

pixie3

Female, 65, Facelift - Atlanta, GA

I had been considering a facelift for about ten years. Every year I considered it MORE! Finally, I decided to go through with it. I knew of several friends that had (what I call) successful facelifts, so I started interviewing their doctors. The eighth physician I contacted was Dr. John Griffin, who was actually referred to me by another cosmetic surgeon, who had retired. I wish I had interviewed Dr. Griffin first—it would have saved me a lot of time. Dr. Griffin is very thorough. During my initial appointment he gave me a full run-down of what I could expect—and there was no charge for that meeting. (Some physicians charge a fee that is deducted from the final bill if you proceed with their surgery.) I was so impressed with Dr. Griffin and his office staff that I had my sister (who is the head surgical nurse at a hospital in another state) accompany me for a follow-up appointment so that she could assess for me Dr. Griffin’s offices and procedure. She was very impressed. That was the final selling point. Dr. Griffin provides the surgical unit, the recovery unit, and the “hospital” room with his private nurse—all onsite. The morning of the surgical procedure, my friend dropped me off early. Since I had all of the pre-surgical work done through my local physician and all the paperwork done in advance, I only had to sign a few documents, meet with Dr. Griffin, recline on the table, and the next thing I knew I was walking up the stairs to my room for the remainder of the day and night. I awoke a few times that night, spoke to the nurse, and went right back to sleep. I slept very well and was quite relaxed and comfortable upon waking. That morning before I left, I met with Dr. Griffin. He then gave me his personal cell number to call if I needed him before our next appointment (three days later) to remove some of the sutures. (Two days later, on a Sunday, my throat was very sore, so I called him at 2:00 p.m. He answered! And he immediately called in a prescription to relieve the irritation.) Monday I returned to his offices and I also saw him six months later. (All of these visits were at no extra charge.) I had no bruising—I know this sounds impossible, but it is true. I actually only took one week off of work. When I returned to my office and social life, I was told that I looked great—everyone thought I had been on vacation.

Worth It$6,500Eyelid Surgery

nancyblasingame

58 Years Old with the " Tired Eyes" Look - Atlanta, GA

I had grown weary of constantly being told "you look so tired". I was not physically tired but my eyes did feel heavy from the weight of my sagging brows and lids. After extensive research and opinions of many doctors in Atlanta I went to visit Dr. Griffin and soon underwent eyelid surgery and a brow lift.

Worth It$13Facelift

renwoman

Facelift Results - One Year Later . . . Atlanta, GA

Hello, I am a 50 year old woman with a positive attitude and a strong desire to take good care of myself – inside and out. For years, I have worked with my dermatologist (Dr Harold Brody) to take care of my skin and when I asked for advice to freshen my overall appearance (while continuing to “look like myself”); he referred me to Dr Griffin. I felt like a member of the family (or their only patient) from my very first phone call for an initial consultation. Administrator Rochelle Koplin immediately understood what I was looking for, quickly scheduled the appointment, and was very encouraging and “on the ball.” RN Trudy Davies took a genuine interest in gathering my background data and helped me understand the options available for various procedures. I then had a detailed meeting with Dr Griffin to discuss my goals, and together, we developed a plan to achieve them. He was/is very easy to talk to – clear, focused and honest. Ultimately, I chose to have a facelift and the results have been outstanding (it has been one year after my surgery). The procedure itself was almost a non-event (at least to me!). I had it done on a Thursday and I (realistically) could have returned to work the following Monday (no bruising at all, full of pep, no pain, etc). I attribute this result to: • The great preparation beforehand (by Dr Griffin’s team and by me to get myself in the best shape possible – mentally/physically prior to surgery) • The wonderful care during and after surgery o RN Barbie Weber prepped me for surgery, assisted Dr Griffin during the surgery, and cared for me the next morning and afterwards o Nurse Jean deftly handled by post op care for the 6-8 hours after surgery and made sure I was comfortable and stable (which I am convinced prevented any bruising) o Nurse Trina oversaw my care that evening (which was actually really fun, we chatted the whole time!) Overall, it was a great experience and I am very happy with the results. As you analyze options for yourself and please call Dr Griffin’s office to learn more. Best wishes.

Worth It$5,500Eyelid Surgery
liznatl

liznatl

I Love my EYES - Atlanta, GA(2008) - NOW I've also gotten a mini-facelift (2016)

It was so worth IT. It took me about 6 months to find a surgeon that I felt comftable with and one who had 2 licenses. He was a General Surgeon and a Reconstructive Suregeon and could operate at numerous hospitals. He had no complaints or law suits that I could find in the last 10 years. When I went for the consultation it was free and he was very surprise to know I knew ALL about him. Do your homework ladies. The day before I had the surgery someone ask me "Are you tired?" I thought thats why I'm doing this. I did it for me not for ANYONE else. My doctors  in Atlanta, GA he is the greatest and I will definetly be going back to get some other things done.. I LOVE MY EYES I look 20 years younger...LOL My recovery time was start to end 7 days! little bruising or swelling! I'll come back and add before and after. Updated on 9 May 2008: I would do this again definetly...I am so please that I followed through. I was afraid at times. I even cancelled my appointment BUT called back the same day and ask was it still open! Lucky me....  All I would say is just do your homework and check out your doctor take your list of questions with you to consultation and don't be afraid to ask! small note: my nose is really not that big..LOL its the camera angle Updated on 7 Jun 2016: Well I had been looking at my turkey neck and thought time to go see Dr, Griffin.. I found out he is about to retire and I was like"OH NO! get me in please!" Since I already knew him and how he works I had no problem with trust or work ethnics. PLUS I also wanted to get my lower eyes touched back up as some fat had started to come back(just a little) I was still happy with how they were even after 10 years.My friends said it was nothing wrong with them BUT I could see it so I decided to do IT! MY EYES..lol The mini facelift itself did not hurt no pain medicine was taken it was however uncomfortable with the stitches being behind the ear, in front of the ear and a few under the chin. However all stitches have been removed as of today June7. My lower face is still a little numb but I am starting to feel the sensation coming back. I'm on the road to a full recovery My lower eyes have come along quit nicely as I cant even tell after a week where the stitches were. I just still have the bruising which last time took about 8 weeks to go away I will come back with updated pictures in about a month. As you know as time goes the swelling goes down and you look even better. Patience is what I need more of. I am still very please with Dr. Griffin and his wonderful staff. AND Nurse JEAN... awesome thank you for looking after me. Dr Griffin has been a very busy man in his career. I will miss him and I pray he has the best retirement ever. Go visit and get to know those grand kids..Love you all